トップ
Top
アクセス
Access
院長紹介
Profile
症例集
Case
治療内容
Services
虫歯・歯周病治療
根管治療
インプラント
親知らずの抜歯
虫歯予防(予防歯科)
審美歯科
セラミック治療
歯周外科
歯列矯正
神経を残す治療
義歯(入れ歯)
歯を残す為の治療
診察メニュー 料金表
Medical Menu
予約
Reservation
TOP
アクセス
院長紹介
症例集
治療内容
虫歯・歯周病治療
根管治療
インプラント
親知らずの抜歯
虫歯予防(予防歯科)
審美歯科
セラミック治療
歯周外科
歯列矯正
神経を残す治療
義歯(入れ歯)
歯を残す為の治療
診察メニュー 料金表
予約
LINE友だち追加
Instagram
症例集
case collection
TOP
治療内容
症例集
スタープラザ歯科 症例集
スタープラザ歯科の治療内容に基づく、症例集です。様々なケースについての症例をご確認いただけます。
インプラント 症例紹介
インプラント症例
右下奥歯にインプラント治療を行った症例
右下奥歯が腫れて噛むと痛いとの事で来院され、インプラント治療を希望された患者様の症例になります
インプラント症例
左下奥歯6、7番目にインプラント治療を行った症例
左下が腫れたり、噛むと痛いとの事で来院され、インプラント治療を希望された患者様の症例になります
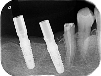
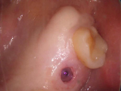
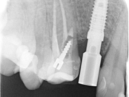
インプラント症例
右上6番目、左下6番目にインプラント治療を行った症例
右上6番目、左下6番目にインプラント治療を希望された患者様の症例になります
インプラント症例
左上6番目にインプラント治療を行った症例
左上6番目にインプラント治療を希望された患者様の症例になります
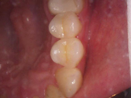
インプラント症例
右上5番目にインプラント治療を行った症例
右上5番目にインプラント治療を希望された患者様の症例になります
インプラント症例
右上3番目にインプラント治療を行った症例
右上3番目にインプラント治療を希望された患者様の症例になります
インプラント症例
左下6番目、7番目にインプラント治療を行った症例
左下6番目、7番目にインプラント治療を希望された患者様の症例になります
インプラント症例
右上被せ物がとれたためインプラント治療を行った症例
右上被せ物がとれたため、インプラント治療を希望された患者様の症例になります
インプラント症例
右上歯が欠けたためインプラント治療を行った症例
右上歯が欠けたため、インプラント治療を希望された患者様の症例になります
インプラント症例
左下5が定期的に腫れるためインプラント治療を行った症例
左下5が定期的に腫れるためインプラント治療を希望された患者様の症例になります
インプラント症例
左下6が噛むと痛むためインプラント治療を行った症例
左下6が噛むと痛く、7に歯をいれたいためインプラント治療を希望された患者様の症例になります
インプラント症例
右下6番目が腫れるためインプラント治療を行った症例
右下6番目が腫れるためインプラント治療を希望された患者様の症例になります
インプラント症例
左下被せ物がとれたためインプラント治療を行った症例
左下被せ物がとれたためインプラント治療を希望された患者様の症例になります
根管治療 症例紹介
根管治療症例
感染根管治療を行った症例
前歯が腫れているとの事で来院され、感染根管治を行った患者様の症例になります
セラミック治療 症例紹介
セラミック治療症例
セラミック治療、ジルコニアインレーを行った症例
金属が気になる、白くしたいとの事で来院され、セラミック治療を行った患者様の症例になります
セラミック治療症例
セラミック治療、ダイレクトボンディングを行った症例
食事をした時に以前詰めていたものが欠けたとの事で来院され、セラミック治療を行った患者様の症例になります
セラミック治療症例
セラミック治療、emaxインレーを行った症例
金属の詰め物を白くしたいとの事で来院され、セラミック治療を行った患者様の症例になります
歯周外科 症例紹介
歯周外科症例
再生療法、リグロス治療を行った症例 1
定期的に歯肉が腫れていたい、噛むと痛いときがあるとの事で来院され、再生療法、リグロス治療を行った患者様の症例になります
歯周外科症例
再生療法、リグロス治療を行った症例 2
右下奥歯が浮いた感じがする、腫れているとの事で来院され、再生療法、リグロス治療を行った患者様の症例になります
歯周外科症例
再生療法、リグロス治療を行った症例 3
何度も腫れや痛みを繰り返してきたとの事で来院された患者様の症例になります
歯列矯正 症例紹介
歯列矯正症例
正中離開の改善を目的として、マウスピース矯正を行った症例
前歯の隙間を埋めたいとの事で来院され、マウスピース矯正を行った患者様の症例になります
神経を残す治療 症例紹介
神経を残す治療症例1
MTAセメント治療を行った症例
冷たい物がしみる、噛むと痛いとの事で来院され、MTAセメント治療を行った患者様の症例になります
神経を残す治療症例2
MTAセメント、ジルコニアクラウン装着を行った症例
冷たい物がしみる、噛むと痛いとの事で来院され、神経を残す治療を行った患者様の症例になります
神経を残す治療症例3
MTAセメント、ダイレクトボンディングを行った症例
左下奥歯が黒いのが以前から気になっていたが、先日少し歯が欠けたとの事で来院され、神経を残す治療を行った患者様の症例になります
義歯(入れ歯)症例紹介
部分床義歯症例
保険入れ歯とノンクラスプデンチャー症例
保険入れ歯とノンクラスプデンチャー治療を希望された患者様の症例になります
金属床義歯症例
金属床義歯 マグネットデンチャー(磁性義歯)
今まで使用している義歯が動いて痛い。新しく作り直しを希望された患者様の症例になります
審美歯科 症例紹介
審美歯科症例
オフィスホワイトニングを行った症例
ホワイトニングをしたいとの希望で来院された患者様の症例になります
審美歯科症例
オフィスホワイトニングを行った症例
ホワイトニングをしたいとの希望で来院された患者様の症例になります
親知らずの抜歯 症例紹介
親知らず抜歯症例
親知らず抜歯症例1
親知らずを抜きたいとの事で来院、治療を希望された患者様の症例になります
親知らず抜歯症例
親知らず抜歯症例2
親知らずを抜きたいとの事で来院、治療を希望された患者様の症例になります
親知らず抜歯症例
親知らず抜歯症例3
親知らずを抜きたいとの事で来院、治療を希望された患者様の症例になります
親知らず抜歯症例
親知らず抜歯症例4
虫歯の治療で削ってつめるか、親知らずを抜歯するか悩んでいるとの事で来院、治療を希望された患者様の症例になります
親知らず抜歯症例
親知らず抜歯症例5
右下8親知らずを抜きたいとの事で来院、治療を希望された患者様の症例になります
親知らず抜歯症例
親知らず抜歯症例6
左右下親知らずを抜歯したいとの事で来院、治療を希望された患者様の症例になります
親知らず抜歯症例
親知らず抜歯症例7
右下親知らずを抜きたいとの事で来院、治療を希望された患者様の症例になります
親知らず抜歯症例
親知らず抜歯症例8
右下親知らずを抜きたいとの事で来院、治療を希望された患者様の症例になります
親知らず抜歯症例
親知らず抜歯症例9
右下親知らずを抜きたいとの事で来院、治療を希望された患者様の症例になります
親知らず抜歯症例
親知らず抜歯症例10
右下親知らずを抜きたいとの事で来院、治療を希望された患者様の症例になります
親知らず抜歯症例
親知らず抜歯症例11
左下親知らずを抜きたいとの事で来院、治療を希望された患者様の症例になります
歯根端切除 歯を残す為の治療 症例紹介
歯根端切除症例
歯根端切除 歯を残す為の治療
左上6番が他院で根管治療をした歯の治療の希望で来院された患者様の症例になります
03-6379-4618
ご予約はこちら