歯根端切除 歯を残す為の治療

apicoectomy

下高井戸駅前商店街近くの歯医者「スタープラザ歯科」の歯根端切除 歯を残す為の治療について紹介します。

歯根端切除 歯を残す為の治療

歯根端切除術

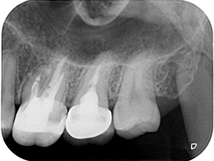
自分の歯を残す事が出来る治療の1つです。根の先の悪い部分を外科的に切除し治癒に導くための治療です。

  • 根管治療を行ったが治らない、根管充填後に膿がたまり腫れてしまう
  • セラミックが既に被さっておりセラミックを壊すのが嫌な方
  • 根尖周囲の嚢胞や腫瘍
  • 根尖外に感染が起こっている場合
  • 根管充填剤が根管外に漏れて感染し、根管治療では除去できず治せない
  • 太くて長い土台が入っており外す際に歯根が破折するリスクがある場合
歯根端切除 歯を残す為の治療