歯根端切除症例:1

apicoectomy-case-1

左上6番が他院で根管治療をしてセラミックを被せた歯に腫れと痛みが起き来院された患者様の症例になります

  • 治療経緯

    左上6番が他院で根管治療をしてセラミックを被せた歯に腫れと痛みが起き来院

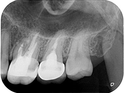
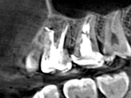
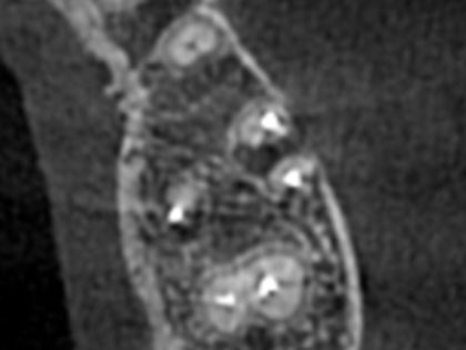
  • 術前の写真がこちら

    • 歯根端切除の術前1
    • 歯根端切除の術前2
    • 歯根端切除の術前3
    • 歯根端切除の術前4
    • 歯根端切除の術前5
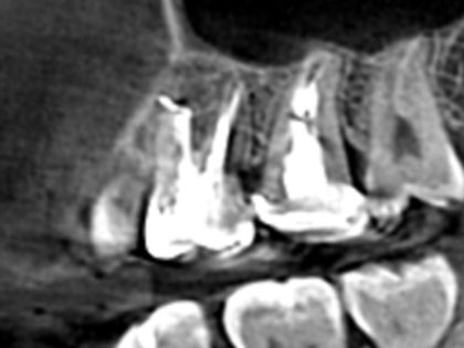
  • 術後の写真がこちら

    • 歯根端切除の術後6
    • 歯根端切除の術後7
    • 歯根端切除の術後8
    • 歯根端切除の術後9
    • 歯根端切除の術後10
    • 歯根端切除の術後11
    • 歯根端切除の術後12
  • 治療の詳細

    • 症例
    • 20代女性
    • 主訴
    • 左上6番が他院で根管治療をしてセラミックを被せた歯に腫れと痛みが起きている
    • 治療期間
    • 90分
    • 治療回数
    • 3回(外科治療自体は1回、2回は消毒と抜糸)
    • 治療内容
    • 歯根端切除