トップ
Top
アクセス
Access
院長紹介
Profile
症例集
Case
治療内容
Services
虫歯・歯周病治療
根管治療
インプラント
親知らずの抜歯
虫歯予防(予防歯科)
審美歯科
セラミック治療
歯周外科
歯列矯正
神経を残す治療
義歯(入れ歯)
歯を残す為の治療
診察メニュー 料金表
Medical Menu
予約
Reservation
TOP
アクセス
院長紹介
症例集
治療内容
虫歯・歯周病治療
根管治療
インプラント
親知らずの抜歯
虫歯予防(予防歯科)
審美歯科
セラミック治療
歯周外科
歯列矯正
神経を残す治療
義歯(入れ歯)
歯を残す為の治療
診察メニュー 料金表
予約
LINE友だち追加
Instagram
審美歯科症例:1
aesthetic-dentistry-case-1
TOP
治療内容
審美歯科
審美歯科症例:1
歯を白くしたいとの希望で来院された患者様の症例になります
目次
治療経緯
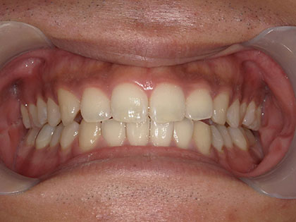
初診時の写真がこちら
1回目の写真がこちら
2回目の写真がこちら
治療の詳細
治療費用内訳
治療経緯
金属が気になる、白くしたい希望
初診時の写真がこちら
1回目の写真がこちら
2回目の
写真がこちら
治療の詳細
症例
20代男性
主訴
歯を白くしたい
治療期間
2日
治療回数
2回
治療内容
44000(オフィスホワイトニング)
治療経緯
所見、最初の1日でも変化はありましたが更に白くしたい希望があり、2回目にはさらに白くなりました。
リスク・
副作用
知覚過敏
ホワイトスポット
03-6379-4618
ご予約はこちら