義歯(入れ歯):2

dentures-case-2

金属床義歯 マグネットデンチャー(磁性義歯)治療を希望された患者様の症例になります

  • 治療経緯

    今まで使用している義歯が動いて痛い。新しく作り直したいとの事で来院

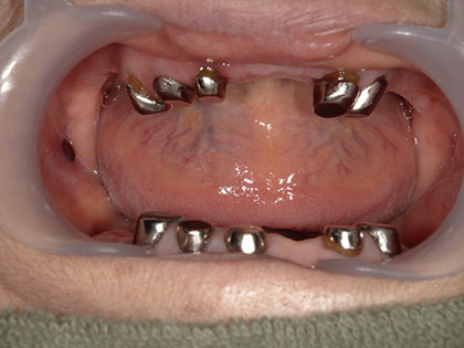
  • 初診時の写真がこちら

    • 義歯(入れ歯)術前1
    • 義歯(入れ歯)術前2
  • 治療中の写真がこちら

    • 義歯(入れ歯)治療中1
    • 義歯(入れ歯)治療中2
    • 義歯(入れ歯)治療中3
  • 治療完了時の写真がこちら

    • 義歯(入れ歯)治療完了時1
    • 義歯(入れ歯)治療完了時2
    • 義歯(入れ歯)治療完了時3
  • 治療の詳細

    • 症例
    • 70代女性
    • 主訴
    • 今まで使用している義歯が動いて痛い。新しく作り直したい。
    • 治療内容
      • 金属床義歯
      • マグネットデンチャー(磁性義歯)
    • 治療費用
    • 900,000円(税抜き)
    • 治療経緯
      • 全体的に歯周病が進行しており、レントゲン写真をみますと青い線が根の先、赤い線が歯を支えている骨のある位置です。黄色の×は抜歯した歯です。
      • 今までと同様なバネを残っている歯にかけると、残っている歯が更にグラグラして、最終的には自分の歯が痛みが強くなり抜歯になります。
      • それであれば歯の神経を取り、その上にマグネット(磁石)を装着した方が根の寿命も延びますし、バネで揺れ動き入れ歯がすれて歯肉が痛くなることも少なくなります。
      • 今回、極端に悪い歯は抜きました。
      • 今回は上下に5か所ずつマグネットを装着し、その上に金属床義歯を上下にセットしました。
      • 入れ歯の下に自分の歯があり、磁石が入ることにより入れ歯が食事の際に外れたり、沈み込みがなくなり、よく噛めるようになります。
      • 欠点としましては、歯の神経を抜かなくてはならない、入れ歯だと自分の歯ではなくなると思う方が多くいます。
    • 長所
      • 入れ歯が食事中や会話中に外れる事はなくなります。
      • 磁石なのでピッタリフィットします。
      • 強い力で噛めます。
      • 歯肉だけでなく、磁石を付けた歯でもカバー出来るので、よく噛めます。
    • 短所
      • 歯の神経を取らなくてはいけないケースがあります。
  • 治療費用内訳(合計:900,000円)

    ※料金は全て税抜表示です。

  • マグネット 1か所30,000円×10か所(上下):300,000円

    金属床(上下)300,000円 × 2:600,000円