インプラント症例:5

implant-case-5

右上5番目の歯にインプラント治療を希望された患者様の症例になります

  • 治療経緯

    右上5番目の歯にインプランを希望との事で来院

  • 初診時のレントゲン写真がこちら

    • インプラント術前1
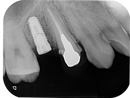
  • 治療中のレントゲン写真がこちら

    • インプラント治療中1
  • 治療完了時のレントゲン写真がこちら

    • インプラント治療完了時1
    • インプラント治療完了時2
  • 治療の詳細

    • 症例
    • 20代男性
    • 主訴
    • 右上5番目の歯が腫れている。歯根が破折している。
    • 治療期間
    • 10か月
    • 治療回数
    • 治療内容
      • 骨造成
      • インプラント
    • 治療費用
    • 453,000円(税抜)
    • リスク・副作用
      • 定期的なメンテナンスが必要。汚れがたまると歯周炎になるリスクあり。
  • 治療費用内訳(合計:453,000円)

    ※料金は全て税抜表示です。

  • 右上5番目に骨造成、インプラント:453,000円