トップ
Top
アクセス
Access
院長紹介
Profile
症例集
Case
治療内容
Services
虫歯・歯周病治療
根管治療
インプラント
親知らずの抜歯
虫歯予防(予防歯科)
審美歯科
セラミック治療
歯周外科
歯列矯正
神経を残す治療
義歯(入れ歯)
歯を残す為の治療
診察メニュー 料金表
Medical Menu
予約
Reservation
TOP
アクセス
院長紹介
症例集
治療内容
虫歯・歯周病治療
根管治療
インプラント
親知らずの抜歯
虫歯予防(予防歯科)
審美歯科
セラミック治療
歯周外科
歯列矯正
神経を残す治療
義歯(入れ歯)
歯を残す為の治療
診察メニュー 料金表
予約
LINE友だち追加
Instagram
歯周外科症例:3
periodontal-surgery-case-3
TOP
治療内容
歯周外科
歯周外科症例:3
何度も腫れや痛みを繰り返してきたとの事で来院された患者様の症例になります
目次
治療経緯
初診時のレントゲン写真がこちら
治療中の写真がこちら
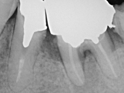
治療完了時のレントゲン写真がこちら
治療の詳細
治療経緯
何度も腫れや痛みを繰り返してきた
初診時のレントゲン写真がこちら
治療中の写真がこちら
治療完了時の
レントゲン写真がこちら
治療の詳細
症例
50代女性
主訴
何度も腫れや痛みを繰り返してきた
治療期間
4か月(外科的治療は1日、経過観察は4か月)
治療回数
治療内容
再生療法、リグロス
治療費用
保険
治療経緯
術前レントゲンの5番目、6番目の歯根間
6番目の分岐部(根本部分)の所が黒く抜けています
骨がとけています。
術中の写真では細菌がたまっており取り除くと骨が溶けてなくなっていて空洞になっています
術後のレントゲン写真では周囲と同じような白と黒が混ざっているのが骨に変化しているのが術後のレントゲン写真で確認できます
リスク・
副作用
術後疼痛、歯肉の腫脹、知覚過敏
歯周組織の再生が起こらない場合があり、その場合は抜歯になる可能性がある
03-6379-4618
ご予約はこちら