トップ
Top
アクセス
Access
院長紹介
Profile
症例集
Case
治療内容
Services
虫歯・歯周病治療
根管治療
インプラント
親知らずの抜歯
虫歯予防(予防歯科)
審美歯科
セラミック治療
歯周外科
歯列矯正
神経を残す治療
義歯(入れ歯)
歯を残す為の治療
診察メニュー 料金表
Medical Menu
予約
Reservation
TOP
アクセス
院長紹介
症例集
治療内容
虫歯・歯周病治療
根管治療
インプラント
親知らずの抜歯
虫歯予防(予防歯科)
審美歯科
セラミック治療
歯周外科
歯列矯正
神経を残す治療
義歯(入れ歯)
歯を残す為の治療
診察メニュー 料金表
予約
LINE友だち追加
Instagram
セラミック症例:3
ceramic-case-3
TOP
治療内容
セラミック治療
セラミック症例:3
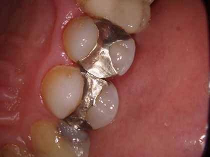
金属の詰め物を白くしたいとの事で来院された患者様の症例になります
目次
治療経緯
初診時の写真がこちら
治療完了時の写真がこちら
治療の詳細
治療費用内訳
治療経緯
金属の詰め物を白くしたい
初診時の写真がこちら
治療完了時の
写真がこちら
治療の詳細
症例
20代女性
主訴
金属の詰め物を白くしたい
治療回数
2回
治療内容
emaxインレー
治療費用
50,000円(税抜)
リスク・
副作用
一次的にしみたりします。割れたり、欠ける可能性があります。
治療費用内訳
(合計:50,000円)
※料金は全て税抜表示です。
emaxインレー:
50,000円
03-6379-4618
ご予約はこちら