インプラント症例:9

implant-case-9

右上歯が欠け、インプラント治療を希望された患者様の症例になります

  • 治療経緯

    右上歯が欠け、インプランを希望との事で来院

  • 初診時の写真がこちら

    • インプラント術前1
    • インプラント術前2
  • 治療中の写真がこちら

    • インプラント治療中1
    • インプラント治療中2
    • インプラント治療中3
    • インプラント治療中4
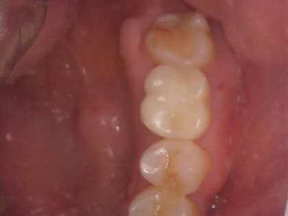
  • 治療完了時の写真がこちら

    • インプラント治療完了時1
    • インプラント治療完了時2
  • 治療の詳細

    • 症例
    • 40代女性
    • 主訴
    • 右上歯が欠けた、ぐらぐらする歯肉の奥深くまで割れていることにより抜歯
    • 治療期間
    • 11か月
    • 治療回数
    • 8回
    • 治療内容
      • 骨造成、インプラント
    • 治療費用
    • 473.000円
    • リスク・副作用
      • 定期的メンテナンスが必要。汚れがたまると歯周炎になるリスクあり
  • 治療費用内訳(合計:473.000円)

    ※料金は全て税抜表示です。

  • ソケットプリザベーション(骨造成):70,000円

    サージカルガイド:43,000円

    インプラント1次オペ:220,000円

    インプラント2次オペ:22,000円

    アバットメント(既成):30,000円

    上部構造ジルコニアクラウン:90,000円