インプラント症例:6

implant-case-6

右上3番目にインプラント治療を希望された患者様の症例になります

  • 治療経緯

    右上3番目の歯にインプランを希望との事で来院

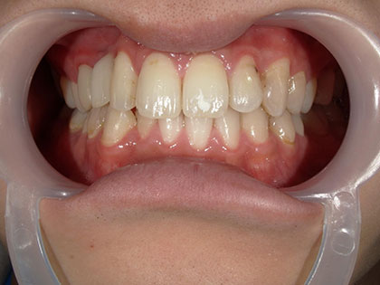
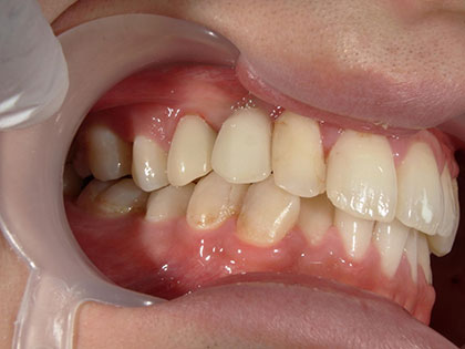
  • 初診時の写真がこちら

    • インプラント術前1
    • インプラント術前2
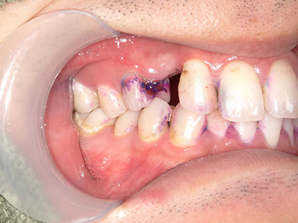
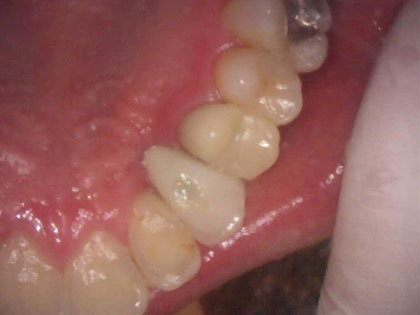
  • 治療中の写真がこちら

    • インプラント治療中1
    • インプラント治療中2
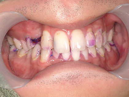
  • 治療完了時の写真がこちら

    • インプラント治療完了時1
    • インプラント治療完了時2
  • 治療の詳細

    • 症例
    • 20代男性
    • 主訴
    • 右上3番目に歯を入れたい。他院で断られたケースです。スペースが足りないため、前歯が正中離開(すきっぱ)であったのでそのスペースを利用しました。
    • 治療期間
    • マウスピース矯正6か月 インプラント6か月
    • 治療内容
      • マウスピース矯正とインプラント
    • 治療費用
    • 593,000円

      前歯部はアバットメント(土台)はシルバーなので目立ちにくいようにするためカスタム(ジルコニアアバットメント)になります。
    • リスク・副作用
      • 定期的なメンテナンスが必要。汚れがたまると歯周炎になるリスクあり。
  • 治療費用内訳(合計:593,000円)

    ※料金は全て税抜表示です。

  • マウスピース矯正:150,000円

    サージカルガイド:43,000円

    1次オペ:220,000円

    2次オペ:20,000円

    アバットメント(カスタム):50,000円

    上部構造ジルコニア:110,000円