トップ
Top
アクセス
Access
院長紹介
Profile
症例集
Case
治療内容
Services
虫歯・歯周病治療
根管治療
インプラント
親知らずの抜歯
虫歯予防(予防歯科)
審美歯科
セラミック治療
歯周外科
歯列矯正
神経を残す治療
義歯(入れ歯)
歯を残す為の治療
診察メニュー 料金表
Medical Menu
予約
Reservation
TOP
アクセス
院長紹介
症例集
治療内容
虫歯・歯周病治療
根管治療
インプラント
親知らずの抜歯
虫歯予防(予防歯科)
審美歯科
セラミック治療
歯周外科
歯列矯正
神経を残す治療
義歯(入れ歯)
歯を残す為の治療
診察メニュー 料金表
予約
LINE友だち追加
Instagram
インプラント症例:11
implant-case-11
TOP
治療内容
インプラント
インプラント症例:11
左下6が噛むと痛いため、インプラント治療を希望された患者様の症例になります
目次
治療経緯
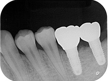
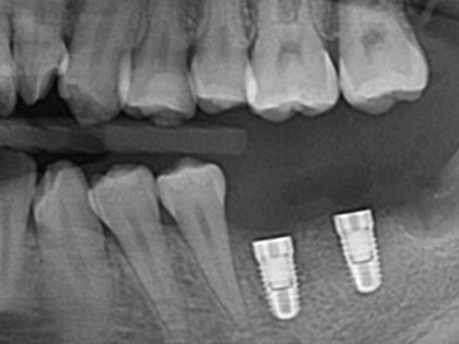
初診時の写真がこちら
治療中の写真がこちら
治療完了時の写真がこちら
治療の詳細
治療経緯
左下6が噛むと痛く、7に歯をいれたいためインプラントを希望との事で来院
初診時の写真がこちら
治療中の写真がこちら
治療完了時の
写真がこちら
治療の詳細
症例
20代女性
主訴
左下6が噛むと痛く、7に歯を入れたいため、インプラントを希望
治療期間
9か月
治療回数
8回
治療内容
骨造成
インプラント
左下親知らずの抜歯
治療経緯
左下6を他院で治療後、噛むと痛い歯が破折した事で抜歯と同時に骨造成をしました。
骨が出来上がるのに4か月程待つ間に、左下親知らずが水平埋伏しており、7番目にインプラントを埋入するにあたり左下親知らずが残ったままでは汚れがたまり、結果的にインプラントもダメになる可能性があるため、親知らずを抜歯後にインプラントを埋入しました。
リスク・
副作用
定期的メンテナンスが必要。汚れがたまると歯周炎になるリスクあり
03-6379-4618
ご予約はこちら